Service

診療内容

Feature

当院は歯科医院からの紹介患者様に対して、
歯内療法のみを行う歯科医院です。

生活歯髄療法

神経を取らないで残す治療

根管治療

神経を取る治療

再根管治療

過去に神経を取った歯のやり直し

支台築造

根管治療が修了してから
被せる前の土台

外科的歯内療法

根管治療で治らない場合や被せ物を外せない場合に行う外科手術

生活歯髄療法(神経を取らないで残す治療)

可能なら神経は取らないで残す方が良いですが、限られた状況でしかできない処置です。

術前(深いむし歯)

術後(神経の一部を切除し特殊な材料で封鎖)

歯髄(歯の神経)の診断は非常に難しく、神経の状態を単純に評価することは不可能です。色々な診査を行い総合的に検討し「神経を残せるか?・残せないか?」を判断して意思決定します。この診査・診断・意思決定のプロセスは専門的な知識や経験が必要なので術者で差が出る部分になります。

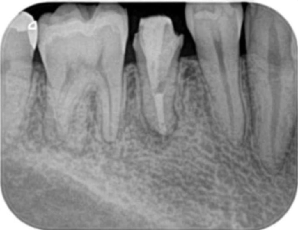
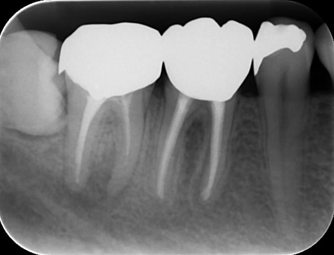
根管治療(初回の神経の治療)

歯の内部が感染しないようにする。もしくは感染してしまったのを治す治療です。

術前

術後

初回の根管治療の成功率は比較的高く細菌感染レベルが低い場合は適切に治療すればGP(一般歯科医)でも成功する可能性は高いと思われます。ただし、術者の歯内療法におけるトレーニングの習熟度により成功率にばらつきが出ます。

日本全国で行われている一般的な根管治療の成功率は50%以下と推測されます。(日歯内療誌 32(1): 1~10, 2011より私的解釈)

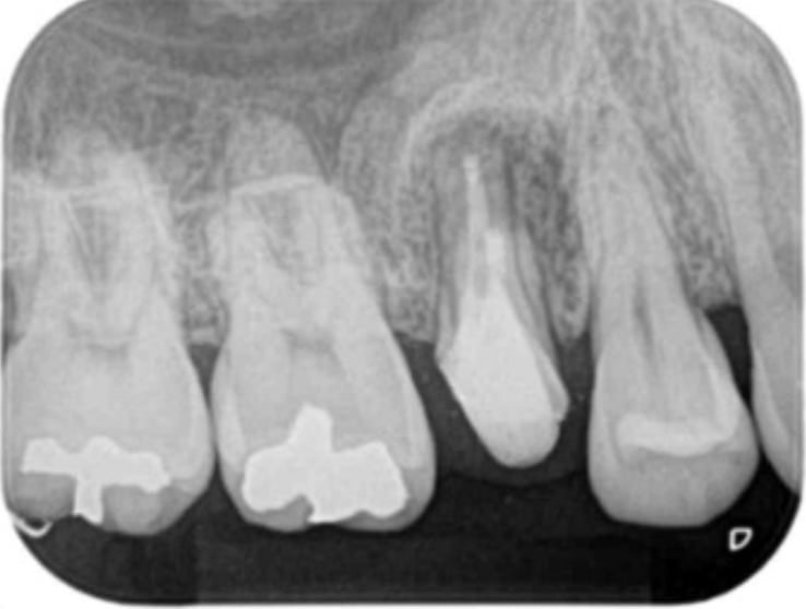
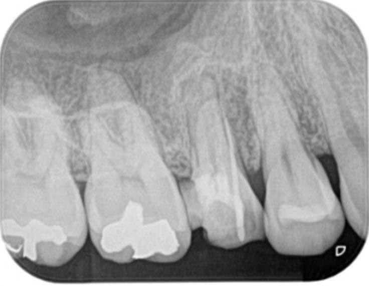
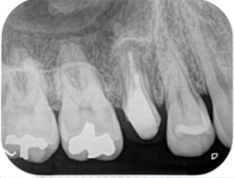
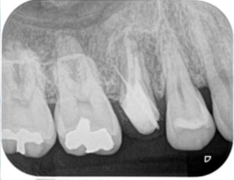
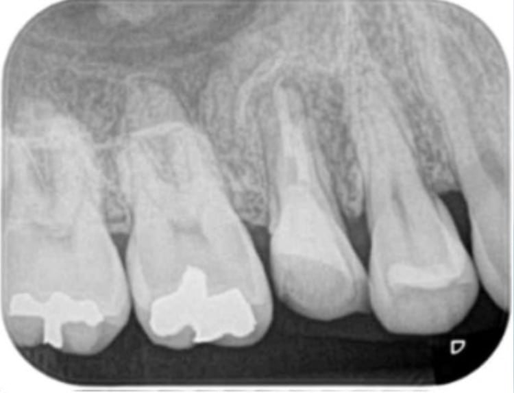
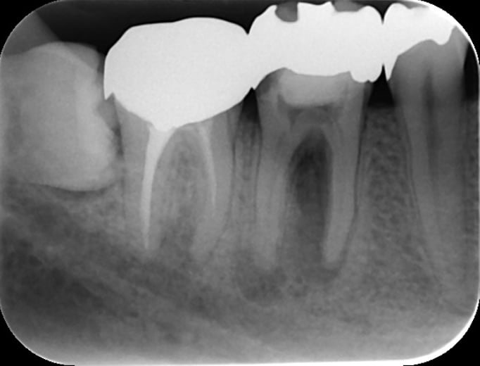
再根管治療(過去に神経の治療をした歯のやり直し)

すでに感染している。もしくは被せ直しをするために念のため歯の内部を再度きれいにする治療です。

術前(長い金属の棒を取る+感染を治すために紹介された)

術後(長い金属の棒はマイクロスコープ下で安全に除去し薬を詰めた状態。わずかに画像が変化し治癒してきている)

残念ながら初回の根管治療が上手くいかず再根管治療になると難易度が上がり、成功率は低下します。再根管治療は専門医に紹介すべき症例の1つです。

支台築造(根管治療が終了してから被せる前の土台)

すでに感染している。もしくは被せ直しをするために念のため内部を再度綺麗にする治療です。
当院で支台築造を行う場合は根管治療後可能な限り早くラバーダム下で無菌的処置環境を徹底して行います。 紹介元の歯科医院で支台築造を行なっても問題ありませんが、その際は連絡(報告書やEメールなど)し連携に配慮いたします。

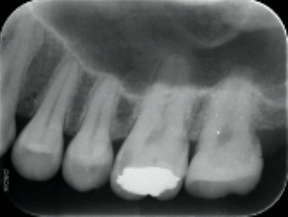
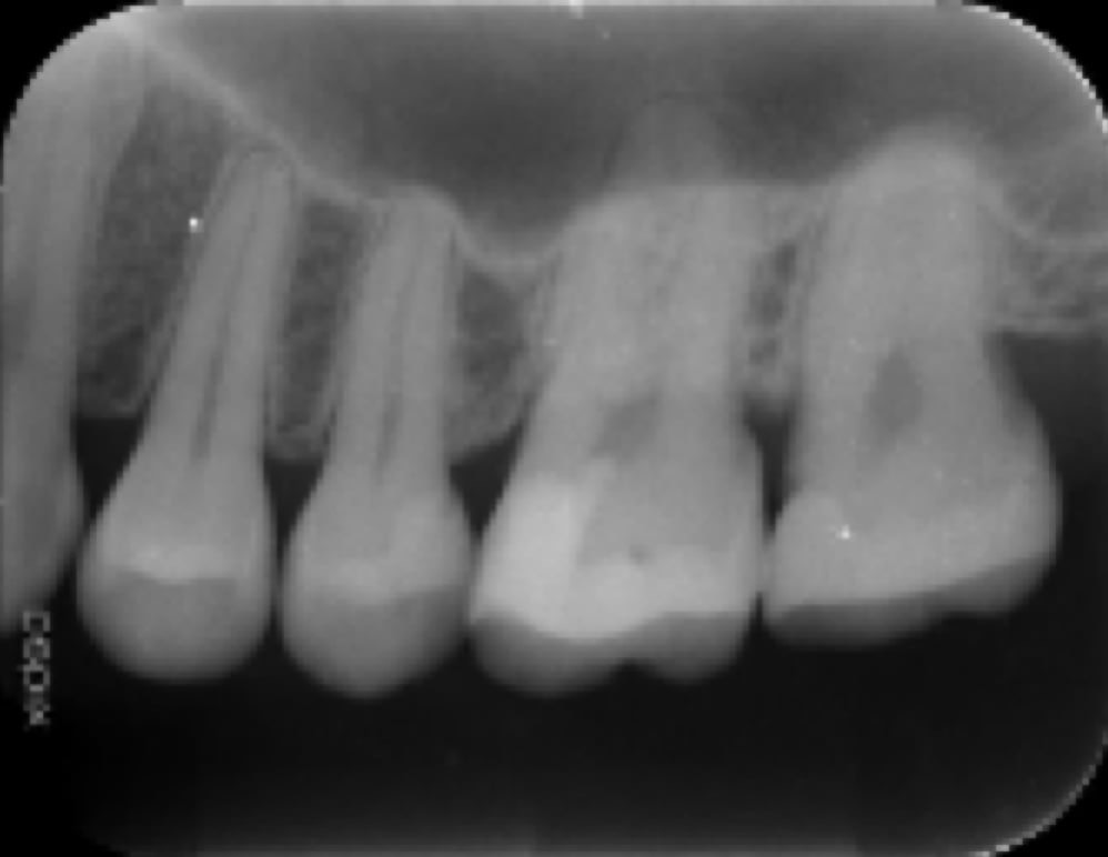
外科的歯内療法(根の先を切断して逆から塞ぐ外科手術)

根管治療では治らない場合もしくは諸事情により被せ物を外して再治療できない場合に外から切って治す外科手術です。

紹介時(再根管治療)

再根管治療終了

治癒せず腫れが再発

外科手術(根の先を切断)

手術後3ヶ月(治癒)

Flow

診療の流れ

STEP 01

かかりつけ歯科医院様からのご紹介

当院来院時までにかかりつけ歯科医院の担当医から紹介状(書面もしくはオンライン紹介フォーム)を準備してもらってください。

STEP 02

初診来院

(45分で問診、口腔内診査、レントゲン撮影、場合によってCT撮影、治療計画説明)
口腔内診査およびレントゲン診査を行った上で状態の説明を行います。

STEP 03

歯内療法の治療

(60~90分を1~3回)
初回予約は90分の診療時間をお取り頂きます。個々の状況によりますが、ほとんどの方は1回から3回の来院で治療は終了します。

STEP 04

かかりつけ歯科医院にて修復処置

当院での治療が終わり次第、早めに紹介元の歯科医院にて仮歯や最終的な被せ物など装着してもらいます。

STEP 05

経過観察

(3ヶ月、1年、2年、3年、4年)
3ヶ月後に歯内療法の処置に問題がないか?を確認します。万が一問題がある場合は外科的歯内療法へ移行します。

Difference

歯内療法専門医とGP(一般歯科医)の違い(AAEホームページ改編)

歯内療法専門医は高度な教育を受けている

アメリカで専門医になるには、歯学部4年間を修了した後、 歯内療法の高度専門プログラムで2~3年間の追加教育を受けます 。歯髄疾患とその治療法の研究に重点を置きます。

歯内療法専門医は専門知識を有する

歯内療法専門医は、診療分野を歯内療法に限定することで、歯髄の治療に特化しています。一般歯科医は通常週2件の根管治療を行うのに対し、歯内治療専門医は平均して週25件の根管治療を行います。歯内治療専門医は、詰め物をしたり歯を清掃したりするのではなく、歯の痛みの診断と治療に時間を費やします。彼らは、これまで診断が困難だった口腔内および顔面の痛みの原因を突き止める熟練した専門家です。

歯内療法専門医は疼痛管理の専門家です

歯内療法専門医は、患者様が治療中に快適に過ごせるよう、専門的な技術を用いています。特に、麻酔のかかり方や麻酔の持続に問題のある患者様には、麻酔薬の投与に精通しています。快適な治療を提供するだけでなく、根管治療後に歯髄の感染や炎症が治癒することで、歯の痛みも軽減されます。

歯内療法専門医は最先端技術を活用

歯内療法専門医は、治療が快適で高い成功率のために歯内療法に特化した材料や機器を備えています。治療中はラバーダムと呼ばれるプラスチックまたはゴムの小さなシートを使用して歯を隔離し、口腔内の他の部分を保護します。デジタルレントゲンと3D画像により、歯内治療専門医は歯の微細な構造を詳細に撮影し、マイクロスコープを用いて、根管や関連する感染症をよりよく観察することができます。

Comparison

専門医とGPの生存率比較

5年生存率

歯内療法専門医

98.1%

GP

89.7%

A comparison of survival of teeth following endodontic treatment performed by general dentists or by specialists Bradley S Alley, DMD, G Gray Kitchens, DMD, Larry W Alley, DMD, Paul D Eleazer, DDS, MS Oral Surgery,Oral Medicine,Oral Pathology,Oral Radiology,and Endodontology Volume 98, Issue 1, July 2004, Pages 115-118

米国内で実施されている根管治療の数は年間1,510万件

その内訳は以下の通り

歯内療法専門医

28%

GP

72%

※専門医は大臼歯や再治療、外科的歯内療法が多い

外科的歯内療法術後の抜歯率

歯内療法専門医

7~11%

GP

25~49%

Outcomes of Primary Endodontic Therapy Provided by Endodontic Specialists Compared with Other Providers JOE, 2016 May;42(5):702-5 Jacob C Burry el al.

歯種別・術者別の生存率グラフ

前歯と小臼歯は差が出ていないが大臼歯では大きく差が出ている

Outcomes of Primary Endodontic Therapy Provided by Endodontic Specialists Compared with Other Providers JOE, 2016 May;42(5):702-5 Jacob C Burry el al.

8年生存率

歯内療法専門医

93%

GP

77%

結果に影響する因子:術者、部位、歯冠修復、喫煙

Long term prognosis of primary nonsurgical endodontics: A retrospective study E. LOCKLEY, M. THOMAS, T. WEINDELS, and P. DUCKMANTON, Endodontics, University of Sydney, Surry Hills, Australia The Preliminary Program for Golden Jubilee Meeting IADR ANZ Division 2010

<まとめ>

日本では「歯内療法専門医」の定義は曖昧ですが、わかりやすい違いは以下のとおり(私見)

①歯科医師からの紹介で歯内療法のみを行い紹介元に戻ること
②根管治療で治らなくても外科的歯内療法で対応できること
③中立的・客観的であること